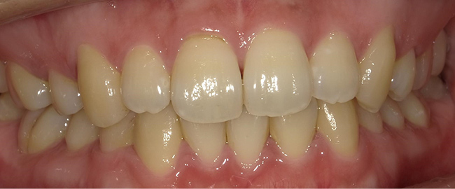
症例
症例
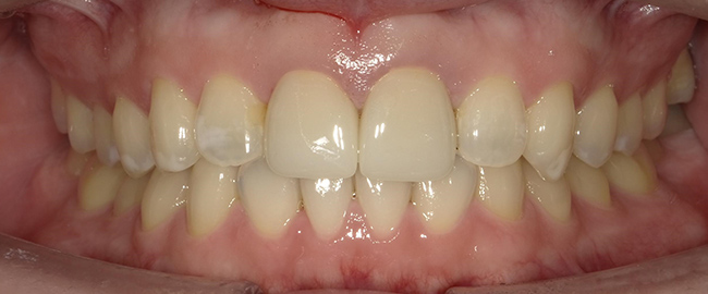
Beffore

After

| 年代 | 30代 女性 |
|---|---|
| 治療内容 | セラミックインレー |
| 治療期間・回数 | 2回 |
| 費用 | 66,000円(税込) |
| リスク・副作用 | 一時的な歯痛・知覚過敏、歯肉退縮、修復物が破折する |
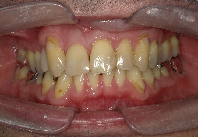
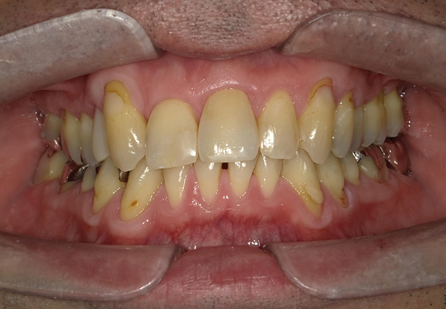
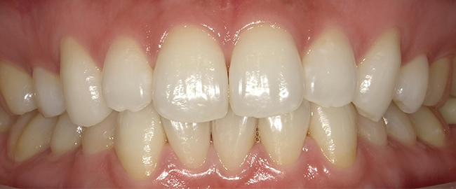
Beffore

After

| 年代 | 50代 男性 |
|---|---|
| 治療内容 | ジルコニアインレー |
| 治療期間・回数 | 2回 |
| 費用 | 66,000円(税込) |
| リスク・副作用 | 一時的な歯痛・知覚過敏、歯肉退縮、修復物が破折する |
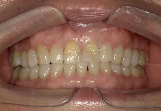
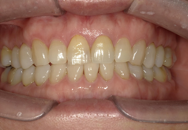
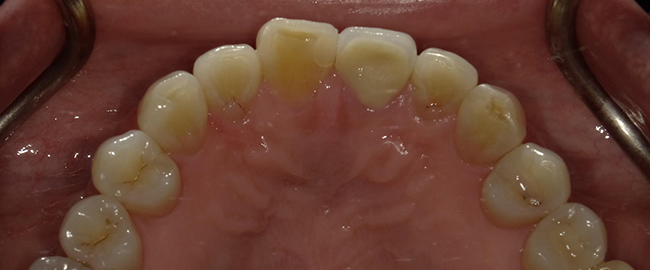
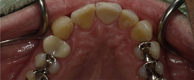
Beffore

After

Beffore

After

| 年代 | 50代 女性 |
|---|---|
| 治療内容 | ジルコニアセラミックス、ホームホワイトニング |
| 治療期間・回数 | 4回 |
| 費用 | ジルコニアセラミックス 132,000円(税込) ホームホワイトニング 16,500円(税込) |
| リスク・副作用 | 一時的な歯痛、歯肉退縮、修復物が破折する ホワイトニングは時間と共に後戻りをします。歯がしみることがあります。 |
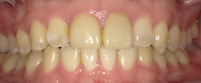
Beffore

After

| 年代 | 20代 男性 |
|---|---|
| 治療内容 | ジルコニアセラミックス、ホームホワイトニング ※2本 |
| 治療期間・回数 | 4回 |
| 費用 | 264,000円(税込) |
| リスク・副作用 | 一時的な歯痛、歯肉退縮、修復物が破折する ホワイトニングは時間と共に後戻りをします。歯がしみることがあります。 |
Beffore

After

Beffore

After

| 年代 | 40代 男性 |
|---|---|
| 治療内容 | ジルコニアセラミックス |
| 治療期間・回数 | 2回 |
| 費用 | 132,000円(税込) |
| リスク・副作用 | 一時的な歯痛・知覚過敏、歯肉退縮、修復物が破折する |
Beffore

After

| 年代 | 20代 女性 |
|---|---|
| 治療内容 | ホームホワイトニング |
| 治療期間・回数 | 2回 ※治療期間1ヶ月 |
| 費用 | 16,500円(税込) |
| リスク・副作用 | ホワイトニングは時間と共に後戻りをします。 歯がしみることがあります。 |
TOP